Protez

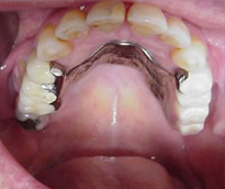
1- Hareketli Protezler

    a) Total Protez
    b) Parsiyel Protezler

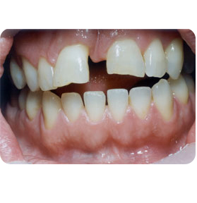
2- Sabit Protezler

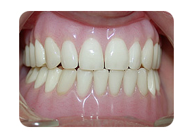
    a) Metal Destekli Porselen Kuron - Köprüler
    b) Kıymetli Metal Porselen Kuron - Köprüler
    c) Zirkon Kuron Köprüler

3- İmplant Üstü Protezler

    a) Sabit Kuron - Köprü Protezleri
    b) Hareketli Protezler

4- Laminate Uygulamaları