Telefon: (212) 233 81 85
Mail:
akselnagasoglu@gmail.com
ANASAYFA
HAKKIMIZDA
EKÝBÝMÝZ
Lusin NAGAÞOÐLU
Aksel NAGAÞOÐLU
HÝZMETLERÝMÝZ
Oral Diagnoz ve Radyoloji
Tedavi,Dolgular
Endodonti
Periodontoloji
Cerrahi Müdahaleler
Ýmplant
Protezler
Lazer Uygulamalarý
Pedodonti
Diþ Beyazlatma
Ortodonti
RESÝM GALERÝSÝ
ÝLETÝÞÝM
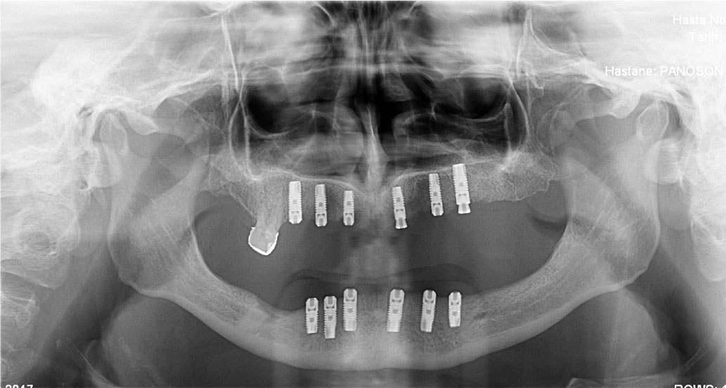
İmplant (Diş kökü olmayan bölgelere uygulanan suni kökler)