Telefon: (212) 233 81 85
Mail:
akselnagasoglu@gmail.com
ANASAYFA
HAKKIMIZDA
EKÝBÝMÝZ
Lusin NAGAÞOÐLU
Aksel NAGAÞOÐLU
HÝZMETLERÝMÝZ
Oral Diagnoz ve Radyoloji
Tedavi,Dolgular
Endodonti
Periodontoloji
Cerrahi Müdahaleler
Ýmplant
Protezler
Lazer Uygulamalarý
Pedodonti
Diþ Beyazlatma
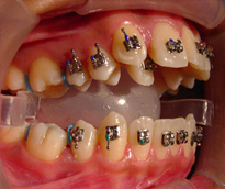
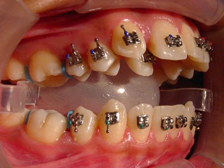
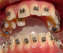
Ortodonti
RESÝM GALERÝSÝ
ÝLETÝÞÝM
Ortodonti