Telefon: (212) 233 81 85
Mail:
akselnagasoglu@gmail.com
HOME PAGE
ABOUT US
OUR TEAM
Lusin NAGAÞOÐLU
Aksel NAGAÞOÐLU
OUR SERVICES
Oral Diagnoz ve Radyoloji
Tedavi,Dolgular
Endodonti
Periodontoloji
Cerrahi Müdahaleler
Ýmplant
Protezler
Lazer Uygulamalarý
Pedodonti
Diþ Beyazlatma
Ortodonti
PHOTO ALBUM
CONTACT
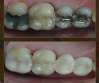
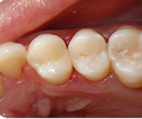
Treatment,Dental Fillings (composite,inlay,onlay,porcelain)