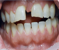
Prosthesis

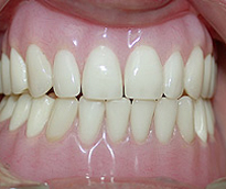
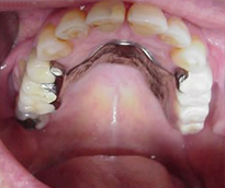
1- Removable Prosthesis

    a) Total Prosthesis
    b) Parsiyel Prosthesis

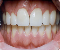
2- Fixed Prosthetics

    a) Metal Supported Porcelain - Bridge
    b) Precious Metal Supportes Porcelain- Bridge
    c) Bridge of Zirconium Crowns

3- Over the Implant Prostheses

     a) Fixed Crowns - Bridge Prosthesis
     b) Movable prostheses

4- Laminate Applications